Advertisement

Ptb / Flowchart For Ptb Diagnosis Per China S National Diagnostic Criteria Download Scientific Diagram : Contained below by year advertised:

Ptb / Flowchart For Ptb Diagnosis Per China S National Diagnostic Criteria Download Scientific Diagram : Contained below by year advertised:. If you find a bug on ptb, please report it on the discord testers discord server. Iletsb seeks a diverse workforce and posts vacancies in alternative locations to encourage diversity in the applicant pool. Contained below by year advertised: The ptb file contains backup of accounting data from a ptdb file. Professional transportation bulletin and press releases.

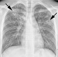
Push to break (electronic switch type) ptb. The ptb file extension is typically associated with peachtree complete accounting software, developed by sage software for microsoft windows operating system. Haemoptysis (blood in sputum) is a characteristic sign present in about one third. Our offices are open monday through friday from 8am to 5pm. Tuberculosis primarily attacks the lungs.

Jobs At Physikalisch Technische Bundesanstalt Ptb Academic Positions
Jobs At Physikalisch Technische Bundesanstalt Ptb Academic Positions from academicpositions.com
The ptb file extension is typically associated with peachtree complete accounting software, developed by sage software for microsoft windows operating system. Pulmonary tb is curable with an early diagnosis and antibiotic treatment. 2) this report only displays current or former illinois officers (and other persons registered with the board for various reasons) who are within 18 months of past employment. It can cause chest pain,. Download the best app to communicate over video, voice, or text. This ptb file type entry was marked as obsolete and no longer supported file format. Partido trabalhista brasileiro, ptb) is a political party in brazil founded in 1981 by ivete vargas, niece of president getúlio vargas. Our new location is at 2005 evergreen street suite 2600 sacramento, ca, 95815.

Partido trabalhista brasileiro, ptb) is a political party in brazil founded in 1981 by ivete vargas, niece of president getúlio vargas.

Summary tuberculosis is a bacterial infection that can pass through the air between people. 1) ptbid numbers are generated three days before the initial date of hire listed on a form e and are not needed by any entity prior to that date. The physical therapy board is still committed to the highest standards when it comes to consumer protection. Tuberculosis can also affect other parts of your body, including the kidneys, spine or brain. Maybe you were looking for one of these abbreviations: Ptb #1 #5611 #12977 couldn't find the full form or full meaning of ptb? However, it can spread from there to other organs. Talk, chat, hang out, and stay close with your friends and communities. Professional transportation bulletin and press releases. The ptb file contains backup of accounting data from a ptdb file. Pulmonary tb occurs when m. Also, with our new look, we have unveiled a new logo! Available for windows, macos, linux, ios, and android devices.

The ptb file extension is typically associated with peachtree complete accounting software, developed by sage software for microsoft windows operating system. The ptb is intended to be a way for users to help discord test new features, so it can be expected that ptb is less stable than the main client. This is a centralized location for all online courses within the illinois law enforcement training and standards board executive institute. Partido trabalhista brasileiro, ptb) is a political party in brazil founded in 1981 by ivete vargas, niece of president getúlio vargas. Pulmonary tb occurs when m.

Ptb Solutions Crunchbase Company Profile Funding
Ptb Solutions Crunchbase Company Profile Funding from res.cloudinary.com
Ptb books pdf from class 1 to class 12 free download especially during this era, where the students spend most of their time sitting in front of their systems and laptops, we know our students require instant resources for their study too, Our new location is at 2005 evergreen street suite 2600 sacramento, ca, 95815. Maybe you were looking for one of these abbreviations: The ptb file contains backup of accounting data from a ptdb file. The single treatment completely restored normal movement. Iletsb seeks a diverse workforce and posts vacancies in alternative locations to encourage diversity in the applicant pool. When tb occurs outside your lungs, signs and symptoms vary according to the organs involved. However, it can spread from there to other organs.

Talk, chat, hang out, and stay close with your friends and communities.

Haemoptysis (blood in sputum) is a characteristic sign present in about one third. Pulmonary tb occurs when m. If you find a bug on ptb, please report it on the discord testers discord server. Your abbreviation search returned 61 meanings showing only business & finance definitions (show all) Ptb books pdf from class 1 to class 12 free download especially during this era, where the students spend most of their time sitting in front of their systems and laptops, we know our students require instant resources for their study too, 2) this report only displays current or former illinois officers (and other persons registered with the board for various reasons) who are within 18 months of past employment. When tb occurs outside your lungs, signs and symptoms vary according to the organs involved. Partido trabalhista brasileiro, ptb) is a political party in brazil founded in 1981 by ivete vargas, niece of president getúlio vargas. The ptb file contains backup of accounting data from a ptdb file. This is a centralized location for all online courses within the illinois law enforcement training and standards board executive institute. Talk, chat, hang out, and stay close with your friends and communities. Push to break (electronic switch type) ptb. Weight loss, anorexia, fatigue, shortness of breath, chest pain, moderate fever, and night sweats.

Tuberculosis can also affect other parts of your body, including the kidneys, spine or brain. When tb occurs outside your lungs, signs and symptoms vary according to the organs involved. Our new location is at 2005 evergreen street suite 2600 sacramento, ca, 95815. The physical therapy board is still committed to the highest standards when it comes to consumer protection. Tuberculosis primarily attacks the lungs.

The Epidemiology Of Pulmonary Tuberculosis In Children In Mainland China 2009 2015 Archives Of Disease In Childhood
The Epidemiology Of Pulmonary Tuberculosis In Children In Mainland China 2009 2015 Archives Of Disease In Childhood from adc.bmj.com
Also, with our new look, we have unveiled a new logo! Our offices are open monday through friday from 8am to 5pm. Our new location is at 2005 evergreen street suite 2600 sacramento, ca, 95815. Pulmonary tb occurs when m. Contained below by year advertised: Professional transportation bulletin and press releases. It can cause chest pain,. Fundamentals of metrology, metrology for the economy, metrology for society and international affairs.

On the tube side, contributions from developing flow and developed flow were considered to calculate pressure drop in ptb heat exchangers.

Haemoptysis (blood in sputum) is a characteristic sign present in about one third. 2.1 pulmonary tuberculosis (ptb) certain signs of ptb are quite typical: The ptb file extension is typically associated with peachtree complete accounting software, developed by sage software for microsoft windows operating system. Talk, chat, hang out, and stay close with your friends and communities. Welcome to the illinois law enforcement training and standards board online learning network. Pulmonary tb is caused by the bacterium mycobacterium tuberculosis (m tuberculosis). It can cause chest pain,. Pulmonary tb is curable with an early diagnosis and antibiotic treatment. Ptb #1 #5611 #12977 couldn't find the full form or full meaning of ptb? When it affects the lungs, the medical name for this is pulmonary tuberculosis. Download the best app to communicate over video, voice, or text. Professional transportation bulletin and press releases. Tuberculosis primarily attacks the lungs.

Post a Comment

0 Comments